Welcome To Our Smile Gallery!
We understand the power of an incredible smile transformation, which is why we’re thrilled that many of our amazing patients have given us permission to share their before and after photos!
From minor updates to smile overhauls, we're here to help YOU love your smile. Call today!
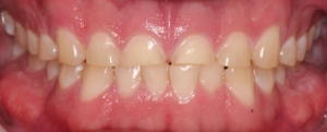
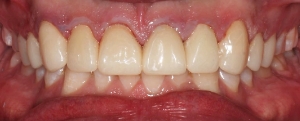
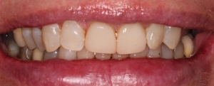
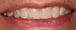
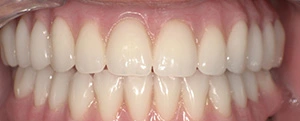
Crowns and Implants to Correct Damaged Teeth

Before

After
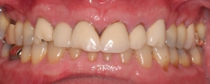
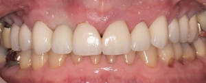
Veneers to Correct Damaged Teeth

Before

After
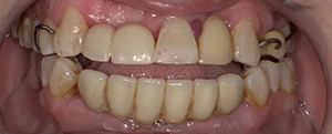
Crowns and Veneers to Correct Shade and Teeth Shape

Before

After
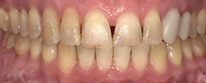
Correction of Decay, Malpositioned Teeth, Color, and Missing Teeth

Before

After
Crowns and Veneers to Correct Shade and Teeth Shape

Before

After
Bite Opening with Crowns to Correct Severe Wear

Before

After
Replacement of Broken and Unesthetic Old Crowns

Before

After
Crown Lengthening Surgery

Before

After
Crowns and Veneers to Correct Size, Contours, and Color of Teeth

Before

After
Composite Veneers to Fix Chipping, Breaking and Misalignment of Front Teeth

Before

After
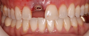
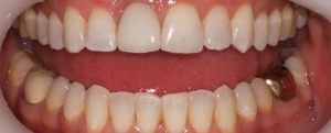
Replacement of a Single Front Tooth with an Implant and Crown

Before

After

Before

After
Upper and Lower All-on-4® Treatment to Rebuild Patient’s Smile

Before

After

Before

After
One-Day Dental Makeover: Fixing Broken, Worn, and Discolored Teeth with Crowns & Veneers

Before

